loader

Blanqueamiento Dental Clínico

Tratamiento profesional y seguro para devolver luminosidad a tu sonrisa, cuidando el esmalte y evitando sensibilidad.

Productos certificados Aplicación clínica Resultados visibles
Evaluar mi caso
Blanqueamiento Dental Clínico Vie et Santé

¿Qué es el blanqueamiento clínico?

Procedimiento controlado por el área dental que aclara el tono de los dientes mediante agentes blanqueadores seguros, protegiendo tejidos y esmalte.

En clínica

Sesión supervisada con barrera gingival y lámpara según protocolo.

Ambulatorio

Kits indicados por el profesional para uso en casa y refuerzo.

Mejora estética inmediata, procedimiento predecible, refuerzo ambulatorio cuando corresponde y resultados naturales.

Aislamiento de encías, control de tiempos, gel desensibilizante y verificación de tono. Usamos insumos certificados.

Evitar pigmentos intensos 24–48h, seguir recomendaciones del profesional y considerar refuerzo según hábitos y caso clínico.

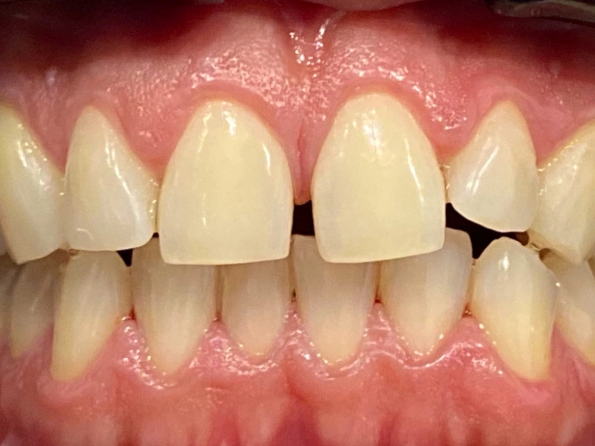
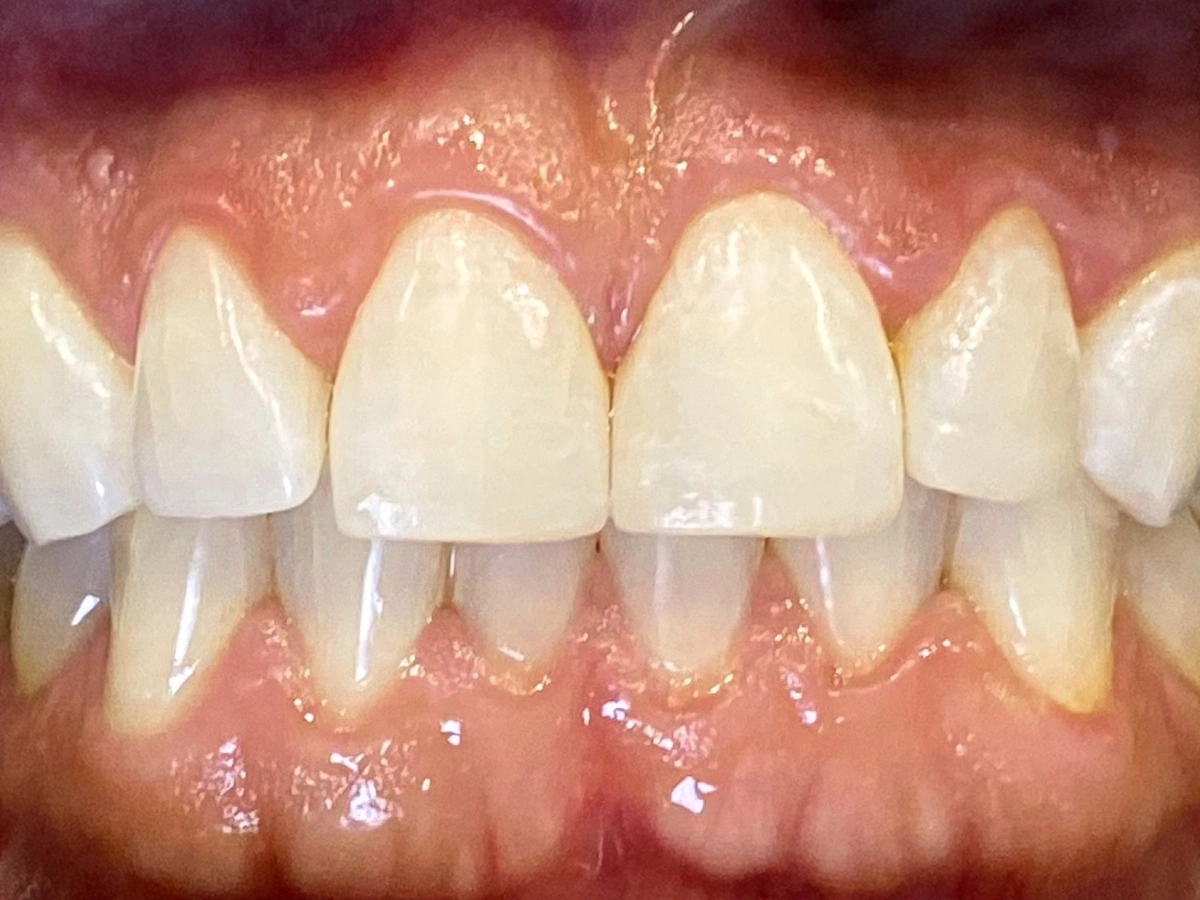
Resultados

Imágenes referenciales con consentimiento. Los resultados pueden variar según el caso.

Antes del tratamiento Antes
Después del tratamiento Después

Agenda tu evaluación

Revisemos tu caso y definamos el blanqueamiento dental más seguro para ti.

¿Prefieres coordinar por WhatsApp?

Te orientamos y reservamos tu hora en segundos.

WhatsApp Blanqueamiento

+56 2 2334 3637

Vecinal 151, Las Condes

Área Dental Vie et Santé

© Copyright 2025 Design by Clínica Vie et Santé | Todos los derechos reservados.

Políticas de Privacidad | Términos y Condiciones