loader

Rehabilitación Oral Integral

Recupera función, estética y confort masticatorio con rehabilitación oral en Las Condes. Tratamientos personalizados en prótesis fija (coronas, puentes), incrustaciones y soluciones combinadas para armonía oclusal.

  • Diagnóstico funcional y estético (oclusión, ATM, tejidos).
  • Plan de tratamiento por etapas: estabilidad, función y estética.
  • Materiales de alta resistencia y acabado cerámico de aspecto natural.
Evaluar mi caso
Rehabilitación oral Clínica Vie et Santé

¿Cuándo considerar una rehabilitación oral?

Si alguna de estas situaciones te resulta familiar, es momento de recuperar la función y estética de tu sonrisa.

Piezas fracturadas

Soluciones estéticas y resistentes para devolver forma y función.

Pérdida dental

Recupera la mordida y la estética con coronas o puentes personalizados.

Desgaste severo

Protege tu sonrisa de la abrasión y restaura la altura de mordida.

Dolor en ATM

Recupera el equilibrio oclusal y elimina molestias al masticar o hablar.

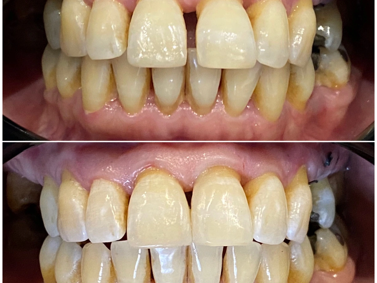
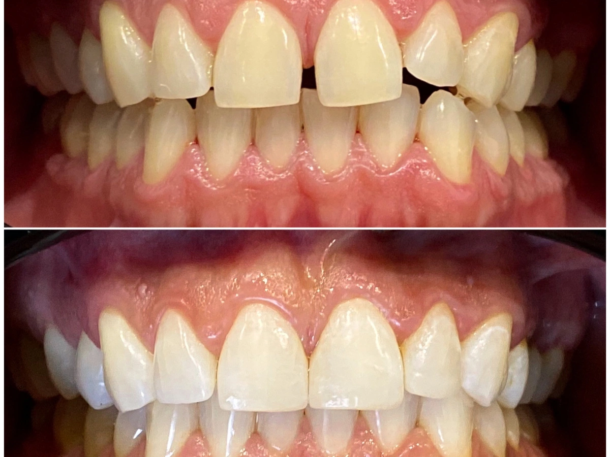
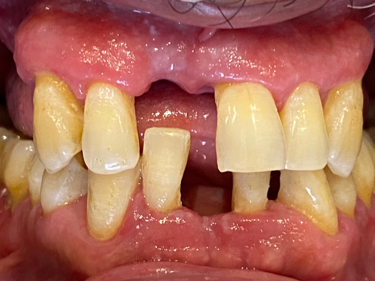
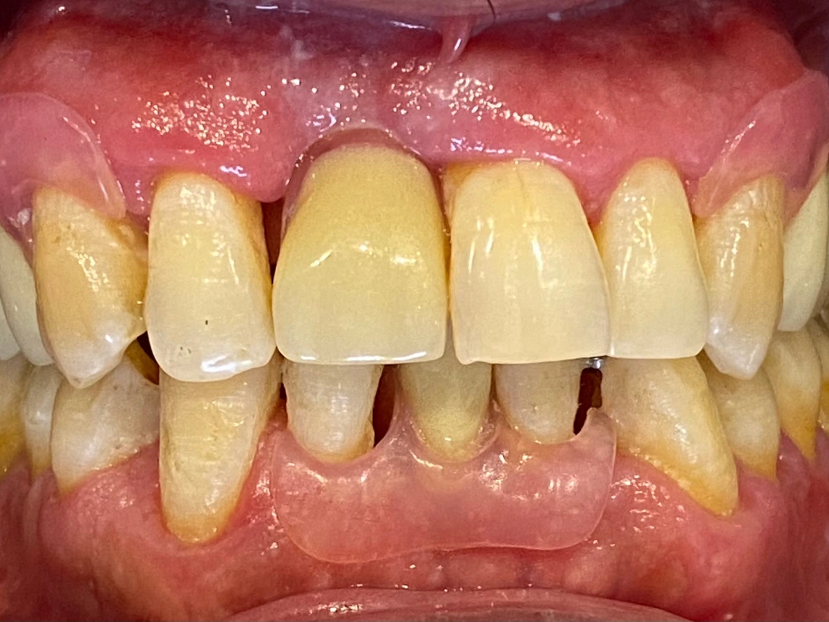
Resultados: antes y después

Rehabilitaciones con enfoque funcional y estética natural. (Imágenes con consentimiento informado).

Antes rehabilitación oral
Después rehabilitación oral
Antes rehabilitación protésica
Después rehabilitación protésica

Cómo abordamos tu rehabilitación

  1. Diagnóstico y planificación

    Evaluación clínica y funcional (oclusión, ATM, soporte periodontal). Priorizamos salud y pronóstico.

  2. Prueba funcional y mock-up

    Verificación de guías oclusales, fonética y estética antes del definitivo.

  3. Restauración definitiva y mantenimiento

    Cementación, instrucciones de cuidado y controles periódicos para estabilidad a largo plazo.

Diferenciadores

  • Enfoque funcional–estético con mínima invasión.
  • Materiales cerámicos de alta precisión y color estable.
  • Comunicación clara de tiempos, costos y alternativas.

Preguntas frecuentes

Depende del caso. Considera fase diagnóstica, pruebas funcionales y restauración definitiva. Te entregamos un cronograma claro.

Utilizamos cerámicas con alta estabilidad cromática. El mantenimiento y la higiene influyen en la longevidad del resultado.

Sí. Primero estabilizamos la función (férula si corresponde) y luego realizamos la fase restauradora para proteger el tratamiento.

Agenda tu evaluación

Revisemos tu caso y definamos el plan de rehabilitación oral que te devuelva comodidad y seguridad al sonreír.

¿Prefieres hablar ahora?

Coordinamos tu atención por el canal que te acomode.

WhatsApp Rehabilitación

+56 2 2334 3637

Vecinal 151, Las Condes

Equipo Rehabilitación Oral Vie et Santé

© Copyright 2025 Design by Clínica Vie et Santé | Todos los derechos reservados.

Políticas de Privacidad | Términos y Condiciones